As we are, the stresses of daily life and activity wear our body down. This can cause our spines to degenerate, which results in pain, reduced mobility and even illness which prevents us from enjoying life and forces us into the role of spectator. For many who want to recover the joy in their daily activities, learning about the phases of degeneration and the means by which chiropractic care can correct the associated problems may be the answer. Chiropractic can fix
many problems associated with subluxation degeneration and help senior patients feels years younger and healthier than ever.

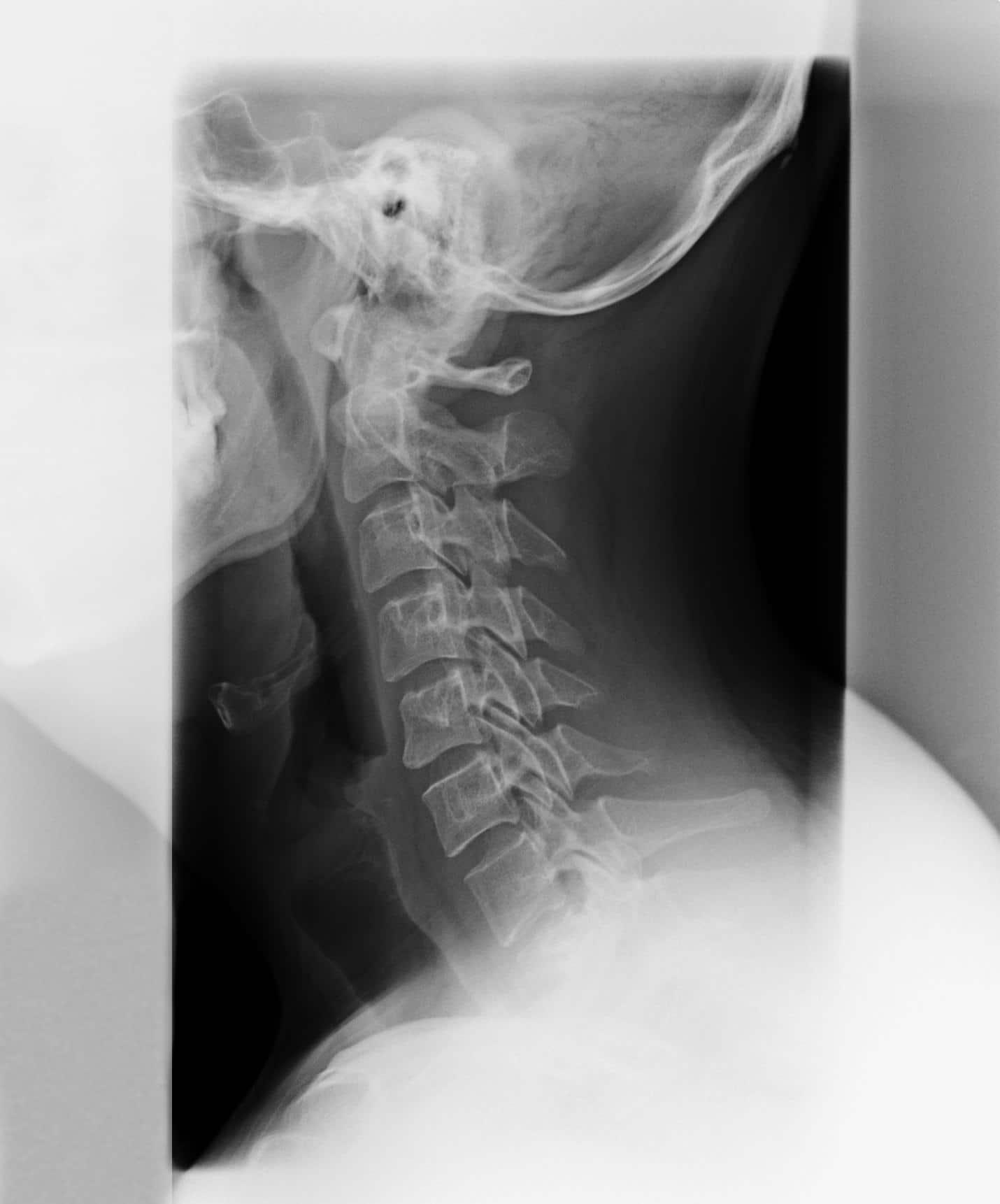
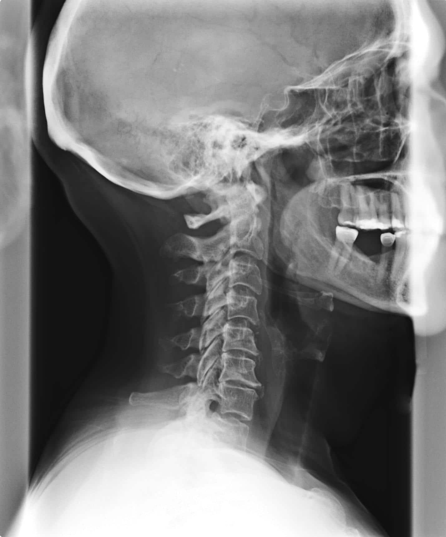
THE PHASES OF SUBLUXATION DEGENERATION

Even if your spine was once perfectly straight and optimal, as you age and undergo the rigors of daily physical activity, your spine will degenerate. Vertebrae fuse together as the cartilage discs between them degenerate, creating a misalignment known as vertebral subluxation complex. This ailment occurs in four phases, with each creating progressively more difficult symptoms and health issues.

PHASE I Degeneration

The first phase of subluxation degeneration sees the basic and normal curve of the spine alter. This doesn’t necessarily represent damage, but it is a symptom of changing space between the discs. Generally, this phase goes unnoticed because it carries no pain. However, proper chiropractic care can diagnose this issue an stop further misalignment and degeneration.

PHASE II Degeneration

Phase II of vertebral subluxation sees the Phase I misalignment continue further, with spaces between the discs beginning to narrow, the patient’s range of motion beginning to decrease, and certain stiffness and aches developing. At this point, prior damage may be irreversible, but chiropractic can help to restore functioning to near-normal levels.

Phase III Degeneration

During the third stage, there may be permanent damage to the disc and the spine may have curvature that is abnormal. While the degeneration has worsened, chiropractic care can still make a positive impact through spinal adjustments by slowing the process down and relieving some of the issues you may be having.

Phase IV Degeneration

In the final stage of subluxation degeneration. At this point, you experience a marked decrease in the quality of life, and longevity is lessened. Neurological and bone damage previously suffered are permanent and the vertebrae are fused. Range of motion may be severely limited and a number of other health issues may present.

However, with proper chiropractic care, the patient can sometimes relieve pain and improve overall nervous function enough that they can still enjoy living life. This is true even at phase IV. If you may be experiencing symptoms of subluxation degeneration in the Marietta area, contact Intrinsic Chiropractic to schedule an appointment today.